About Liv

What Is Aplastic Anemia: Key Causes & Treatment

What Is Aplastic Anemia: Key Causes & Treatment

Find out what is aplastic anemia. Learn the key causes, serious symptoms, and powerful treatment options explained simply.
Aplastic anemia is a serious condition where the bone marrow doesn’t make enough blood cells. This leads to pancytopenia. It’s a rare blood disorder that can change your life. Knowing its causes, symptoms, and treatments is key.

At LivHospital, we focus on our patients with aplastic anemia. We offer full support for those dealing with this tough condition. Our team is ready to give top-notch care, tailored to international patients’ needs.

Key Takeaways

  • Aplastic anemia is a rare and serious blood disorder characterized by the failure of bone marrow to produce enough blood cells.
  • The condition can lead to pancytopenia, a reduction in the number of red and white blood cells and platelets.
  • LivHospital provides comprehensive care for aplastic anemia with a patient-focused approach.
  • Understanding the causes, symptoms, and treatment options is key for effective management.
  • Our team is committed to delivering world-class healthcare for international patients.

Understanding Aplastic Anemia

What Is Aplastic Anemia: Key Causes & Treatment

To understand aplastic anemia, we need to know its definition and why it happens. It’s a condition where the bone marrow can’t make enough blood cells.

Definition and Medical Terminology

Aplastic anemia means the bone marrow can’t make enough blood cells. This includes red blood cells, white blood cells, and platelets. It’s also called bone marrow failure.

The term “aplastic” means the marrow can’t make new cells. “Anemia” means there’s not enough red blood cells.

The bone marrow is key in making all blood cells. In aplastic anemia, this process breaks down. This leads to a lack of blood cells.

How Aplastic Anemia Differs from Other Types

Aplastic anemia is different because it affects the bone marrow’s ability to make all types of blood cells. It’s not just about red blood cells like in other anemias. It also affects white blood cells and platelets.

CharacteristicsAplastic AnemiaOther Types of Anemia
Blood Cells AffectedRed blood cells, White blood cells, PlateletsPrimarily Red blood cells
CauseBone marrow failureNutritional deficiencies, Chronic diseases
SymptomsFatigue, Infections, BleedingFatigue, Weakness, Pale skin

Knowing these differences is key for diagnosis and treatment. Aplastic anemia needs a detailed plan to fix the bone marrow’s failure.

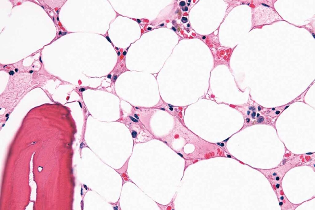
The Bone Marrow’s Critical Role in Blood Production

What Is Aplastic Anemia: Key Causes & Treatment

The bone marrow is key in making blood cells, a vital process for our survival. It creates red blood cells, white blood cells, and platelets. These are essential for our health.

Normal Bone Marrow Function

For our bodies to get enough blood cells, the bone marrow must work right. It has stem cells that turn into different blood cells. Red blood cells carry oxygen, white blood cells fight infections, and platelets help blood clot. A healthy bone marrow makes these cells at the right rate for our needs.

Bone Marrow Failure in Aplastic Anemia

In aplastic anemia, the bone marrow can’t make enough blood cells. This happens when the bone marrow gets damaged. It leads to fewer red blood cells, white blood cells, and platelets.

People with aplastic anemia might feel tired, get infections easily, and bleed a lot. The bone marrow’s failure to make enough blood cells is a key sign of this condition. Knowing how this works helps doctors find better treatments.

Primary Causes of Aplastic Anemia

Knowing what causes aplastic anemia is key to treating it. This condition happens when the bone marrow can’t make blood cells. Many things can cause this problem.

Autoimmune Bone Marrow Destruction

Autoimmune bone marrow destruction is a big cause of aplastic anemia. Here, the immune system attacks the bone marrow. This makes it hard for the bone marrow to make blood cells. Autoimmune disorders play a big role in this.

Environmental Exposures and Toxic Triggers

Some environmental toxins and chemicals can also cause aplastic anemia. Radiation therapy and chemicals like benzene are known risks. These can harm the bone marrow, stopping it from making blood cells.

Medications That Can Cause Aplastic Anemia

Some medicines can lead to aplastic anemia. This includes certain antibiotics, anti-inflammatory drugs, and chemotherapy medications. The risk depends on the medicine and how a person reacts to it.

Viral Infections and Their Impact

Viral infections can also cause aplastic anemia. Viruses like hepatitis and HIV can harm the bone marrow. It’s important to understand how viruses affect aplastic anemia to find the right treatment.

In summary, aplastic anemia has many causes. Knowing these causes helps us manage the condition better. By looking at autoimmune disorders, environmental exposures, certain medicines, and viral infections, we can improve treatment plans.

Recognizing Symptoms When the Body Is Not Producing Blood

When the body can’t make blood cells well, it shows in many symptoms. Aplastic anemia is a serious issue where the bone marrow doesn’t make enough red and white blood cells, and platelets.

Red Blood Cell Deficiency Symptoms

A lack of red blood cells can cause anemia. This leads to tiredness, weakness, and shortness of breath. People might feel dizzy and have pale skin because their bodies don’t get enough oxygen.

White Blood Cell Deficiency Symptoms

Not enough white blood cells weakens the immune system. This makes it easier to get sick. Symptoms include getting sick often, having a fever, and feeling severe fatigue.

Platelet Deficiency Symptoms

Not enough platelets can cause easy bruising, bleeding gums, and prolonged bleeding after injuries. In serious cases, it can lead to dangerous internal bleeding.

When to Seek Medical Attention

If you’re tired all the time, get sick a lot, or bleed a lot, see a doctor. An expert says early treatment can greatly help aplastic anemia patients.

See a doctor if you notice strange symptoms or if they last a long time. Quick medical help can manage the condition well.

Comprehensive Diagnosis of Aplastic Anemia

Diagnosing aplastic anemia is complex. It involves clinical evaluations and lab tests. These tools help confirm the condition and rule out other causes of symptoms.

Blood Tests and Complete Blood Count

Blood tests are key in diagnosing aplastic anemia. A complete blood count (CBC) is the first step. It measures red, white blood cells, and platelets.

In aplastic anemia, the CBC shows low counts of all blood cells. This is called pancytopenia.

Key findings from a CBC in aplastic anemia include:

  • Low red blood cell count (anemia)
  • Low white blood cell count (leukopenia)
  • Low platelet count (thrombocytopenia)

Bone Marrow Biopsy and Aspiration

A bone marrow biopsy and aspiration are vital for confirming aplastic anemia. These procedures remove a bone marrow sample for examination. In aplastic anemia, the bone marrow has fewer cells than normal.

The biopsy helps assess the marrow’s health and look for abnormalities like fibrosis or cancer cells.

Genetic Testing for Inherited Forms

Genetic testing may be needed for inherited aplastic anemia, like Fanconi anemia. It analyzes DNA for specific mutations.

Differential Diagnosis and Excluding Other Conditions

Differential diagnosis is critical. We must rule out other conditions that cause similar symptoms. This includes myelodysplastic syndromes, leukemia, and other bone marrow disorders. We use clinical evaluation, lab tests, and sometimes imaging studies.

Diagnostic TestPurposeKey Findings in Aplastic Anemia
Complete Blood Count (CBC)Measure levels of different blood cellsPancytopenia (low counts of red blood cells, white blood cells, and platelets)
Bone Marrow Biopsy and AspirationAssess bone marrow cellularity and detect abnormalitiesHypocellular marrow
Genetic TestingIdentify inherited forms of aplastic anemiaSpecific genetic mutations (e.g., Fanconi anemia)

Treatment Approaches for Aplastic Anemia

Treatment for aplastic anemia varies based on the patient’s needs. We’ll look at different options, from supportive care to more intense treatments.

Blood Transfusions for Symptom Management

Blood transfusions are key in managing aplastic anemia symptoms. They increase red and white blood cells and platelets. This helps fight fatigue, prevent infections, and stop bleeding.

Red blood cell transfusions boost oxygen to tissues, easing fatigue and breathlessness. Platelet transfusions stop bleeding. Granulocyte transfusions help with severe infections.

Immunosuppressive Therapy

Immunosuppressive therapy (IST) calms the immune system’s attack on the bone marrow. It uses medicines like anti-thymocyte globulin (ATG) and cyclosporine to control the immune response.

IST works well for those not suited for bone marrow transplants or as a temporary solution until a transplant can happen.

Bone Marrow and Stem Cell Transplantation

Bone marrow transplantation is a cure for aplastic anemia. It replaces damaged marrow with healthy stem cells from a donor.

Choosing bone marrow transplantation depends on disease severity, age, and donor availability.

Growth Factors and Stimulating Agents

Growth factors boost bone marrow to make blood cells. Granulocyte-colony stimulating factor (G-CSF) is one, used to increase white blood cells, like neutrophils.

These agents help aplastic anemia patients, mainly those with low white blood cells, by lowering infection risk.

Potential Complications and Long-term Outlook

It’s important for patients and doctors to know about aplastic anemia complications. This condition is serious and can be deadly if not treated right.

Serious Complications of Aplastic Anemia

Aplastic anemia makes it hard for the bone marrow to make blood cells. This leads to infections because there aren’t enough white blood cells to fight off germs. These infections can be very serious and even life-threatening.

Bleeding complications are another big worry. This is because there aren’t enough platelets, which are needed to stop bleeding. Anemia, caused by not enough red blood cells, makes people feel tired, weak, and short of breath. This really affects their quality of life.

Prognosis Factors That Affect Outcomes

The outlook for aplastic anemia patients varies a lot. The severity of the condition at the start is very important. If it’s more severe, the outlook is worse.

How well the patient responds to treatment is also key. Those who do well with immunosuppressive therapy or HSCT tend to have better chances. Younger patients and those in better health usually do better too. Having a good donor for HSCT is also a big plus.

Survival Rates and Recovery Expectations

Thanks to new treatments, survival rates for aplastic anemia have gone up. Studies show that more patients are living longer, thanks to timely and effective treatment.

For those getting HSCT, having a matched sibling donor helps a lot. But IST is also a good option for those without a donor. The success of IST depends on the treatment plan used.

Recovery times vary. Some patients fully recover, while others need ongoing care to manage symptoms and prevent problems. It’s important to keep up with follow-up care to watch for any late effects of treatment.

Living with Aplastic Anemia: Daily Management

Living with aplastic anemia can be tough, but it’s possible to live a good life. It takes a mix of medical care, lifestyle changes, and support from others.

Lifestyle Adjustments for Better Quality of Life

Making lifestyle adjustments is key for those with aplastic anemia. Avoid hard activities, rest well, and keep a regular daily schedule. Also, manage stress with meditation or yoga.

It’s wise to be careful with physical activities to avoid injuries and infections. Gentle exercises like walking or swimming are okay. But, always check with a doctor before starting new exercises.

Infection Prevention Strategies

Infection prevention is very important for managing aplastic anemia. Practice good hygiene like washing hands often. Avoid being close to sick people and stay away from crowded places.

  • Use hand sanitizer when soap and water are not available.
  • Avoid sharing personal items like utensils or towels.
  • Stay up-to-date with recommended vaccinations.

Nutritional Considerations and Diet

Eating well is essential for those with aplastic anemia. Focus on foods high in iron, vitamin B12, and folate. Drinking plenty of water is also important.

NutrientFood Sources
IronRed meat, spinach, beans
Vitamin B12Meat, fish, poultry, eggs
FolateLeafy greens, citrus fruits, beans

Support Resources and Patient Communities

Having a strong support system is very helpful for those with aplastic anemia. This includes family, friends, and support groups. Connecting with others who get it can offer emotional support and advice.

Online forums, local groups, and healthcare resources are great for support. They provide a place to share, ask questions, and get tips on managing the condition.

Conclusion

We’ve looked into aplastic anemia, a serious issue where the bone marrow can’t make blood cells. It’s important to know the causes, symptoms, and how to treat it to manage it well.

This condition can come from many things like autoimmune diseases, environmental factors, some medicines, and viruses. Spotting symptoms like tiredness, infections, and bleeding is key to catching it early.

To diagnose it, doctors use blood tests, bone marrow biopsies, and genetic tests. Treatment can include blood transfusions, medicines to fight off the immune system, and even bone marrow transplants. A detailed treatment plan is essential for managing aplastic anemia.

In short, understanding aplastic anemia is vital. We’ve covered its causes, symptoms, and treatments. This summary aims to help people grasp this complex condition. It’s a call to action for early detection and proper treatment to better patient outcomes.

FAQ

What is aplastic anemia?

Aplastic anemia is a rare blood disorder. It happens when the bone marrow can’t make enough blood cells. This leads to a lack of all blood cell types.

What causes aplastic anemia?

It can be caused by the immune system attacking the bone marrow. Environmental factors, some medicines, and viruses also play a role.

How does aplastic anemia differ from other types of anemia?

Unlike other anemias, aplastic anemia affects all blood cell types. It’s not just about red blood cells.

What are the symptoms of aplastic anemia?

Symptoms include feeling very tired and weak. You might also have pale skin and shortness of breath. There’s a higher risk of infections and bleeding.

How is aplastic anemia diagnosed?

Doctors use blood tests and a bone marrow biopsy to diagnose it. They also do genetic testing and rule out other conditions.

What are the treatment options for aplastic anemia?

Treatments include blood transfusions and medicines to suppress the immune system. Bone marrow and stem cell transplants are also options. Growth factors are used to help the bone marrow.

Can aplastic anemia be cured?

Cure chances depend on the cause and treatment success. Some patients can be cured with bone marrow or stem cell transplants.


References

  1. NIH. (2025). Symptoms & Causes of Aplastic Anemia & Myelodysplastic Syndromes. 

https://www.niddk.nih.gov/health-information/blood-diseases/aplastic-anemia-myelodysplastic-syndromes/symptoms-causes

Get in Touch with Us